

- 01
初診・カウンセリング
お悩み・ご希望を丁寧に伺い、現在の口腔内の状態を確認します。
- 02
CT検査・精密診断
骨の量・神経の位置・噛み合わせなどを詳細にチェックします。
- 03
治療計画の説明
可能な治療方法(即時埋入・フラップレス・即時荷重・骨造成など)を比較しながら、ご提案します。
- 04
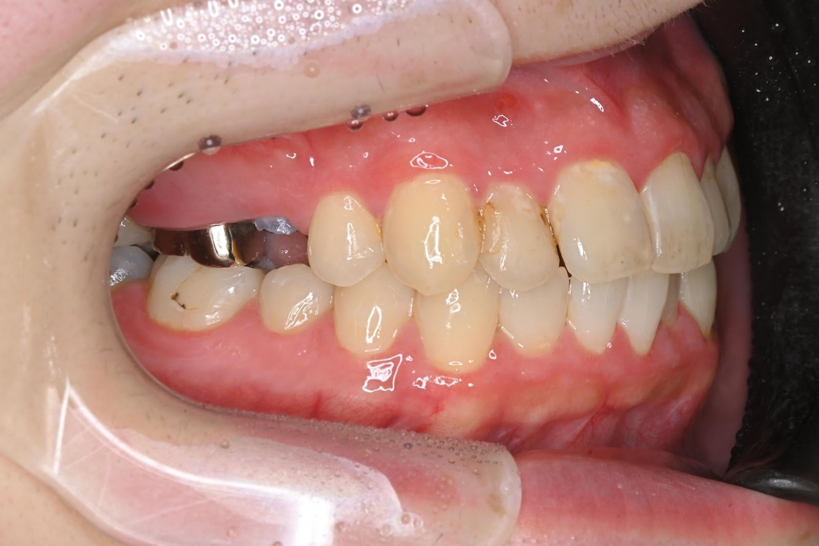
インプラント手術
(ガイド使用)事前の設計に基づき、サージカルガイドを使用した精密な埋入手術を行います。必要に応じて静脈内鎮静法にも対応。
- 05
治癒期間
骨とインプラントが結合する期間です。
※期間は個人差があります。 - 06
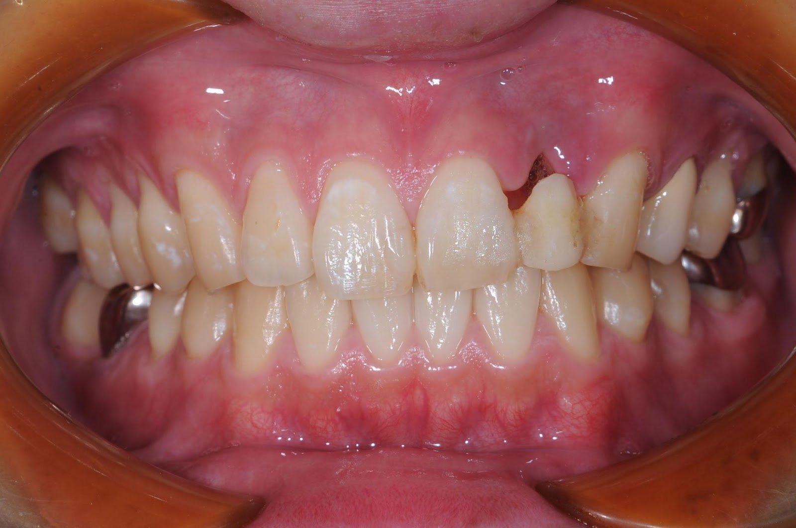
上部構造(人工歯)の装着
噛み合わせ・見た目のバランスを確認しながら装着します。
- 07
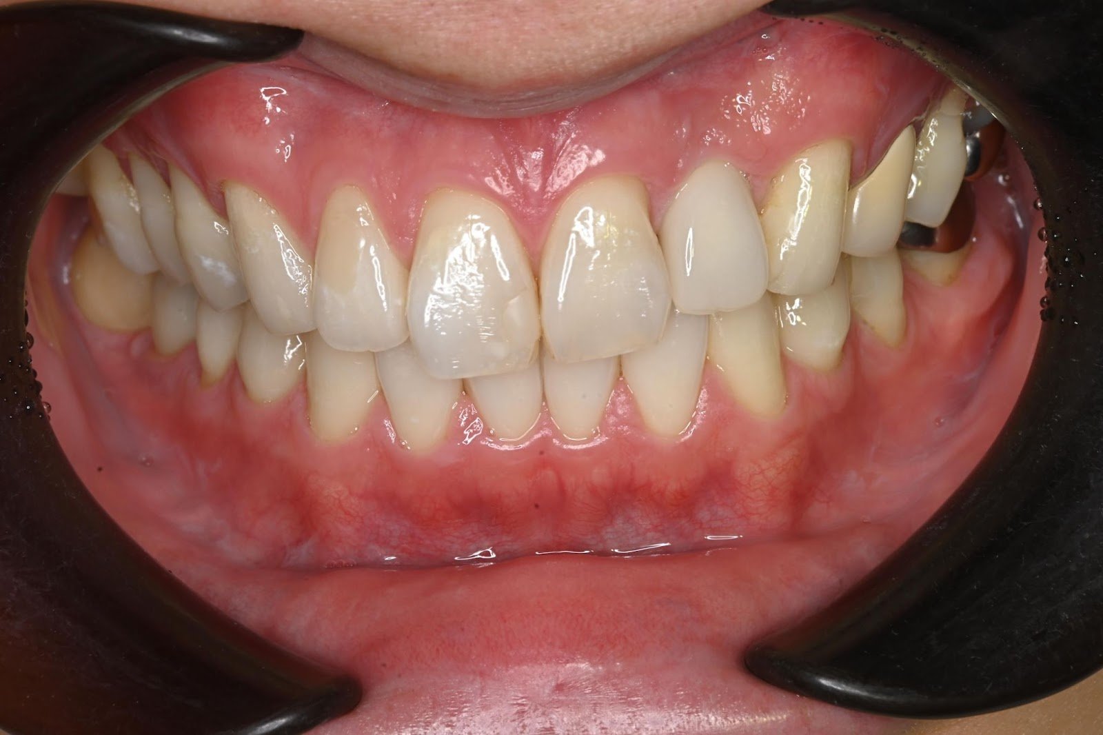
メンテナンス・定期検診
長期的に良い状態を保つため、歯科衛生士が継続的にチェックします。
四日市市の歯医者 にいみ歯科・矯正歯科では「かかりつけの歯医者」としてインプラント治療後もサポートします。
























